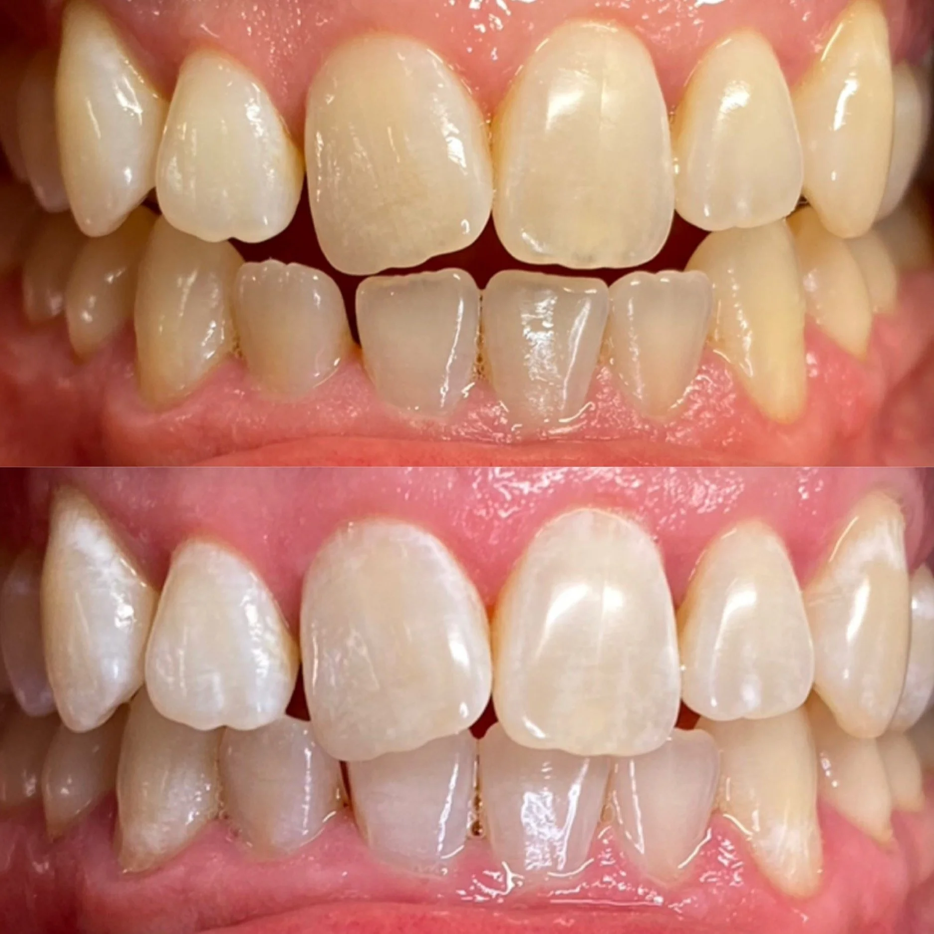
Teeth Whitening

Achieve a brighter, more confident smile in just one hour! Our professional teeth whitening system is designed to safely lift surface stains caused by coffee, tea, wine, smoking, and daily wear. This treatment is gentle yet effective, revealing a noticeably whiter smile in just one session. To maintain results, we recommend a treatment twice per year.